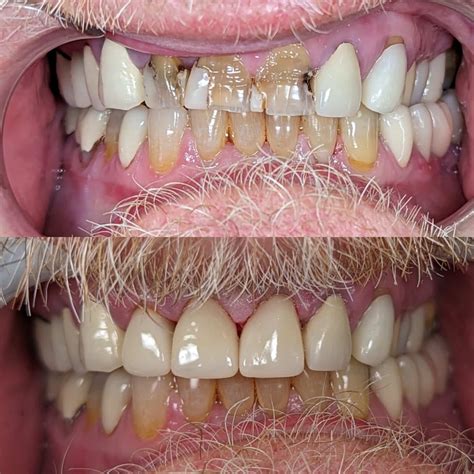
Joseph McCumber Blog